Home
/ Herzmuskelentzündung Mrt / Kardio Mrt Kardiocentrum Frankfurt / Die herzmuskelentzündung (myokarditis) ist eine ernstzunehmende erkrankung, die erhebliche einschränkungen der herzleistungsfähigkeit verursachen und sogar zum plötzlichen herztod führen.
Herzmuskelentzündung Mrt / Kardio Mrt Kardiocentrum Frankfurt / Die herzmuskelentzündung (myokarditis) ist eine ernstzunehmende erkrankung, die erhebliche einschränkungen der herzleistungsfähigkeit verursachen und sogar zum plötzlichen herztod führen.
Herzmuskelentzündung Mrt / Kardio Mrt Kardiocentrum Frankfurt / Die herzmuskelentzündung (myokarditis) ist eine ernstzunehmende erkrankung, die erhebliche einschränkungen der herzleistungsfähigkeit verursachen und sogar zum plötzlichen herztod führen.. Eine mrt brachte erst die genaue diagnose. Sie bildet das schlagende herz ab und gestattet so. In westlichen industrieländern sind es meist viren, vor allem sogenannte. Das herz ist ganz klar das symbol der liebe und des lebens. Außerdem müssen die herzschrittmachergeräte vor der untersuchung auf eine.
Lesen sie mehr über ursachen, symptome, risiken und behandlung der myokarditis. Eine herzmuskelentzündung (myokarditis) hat häufig eine infektion als ursache. Welche ursachen hat eine herzmuskelentzündung? (arztwissen.tv / herz & kreislauf). Die herzmuskelentzündung (myokarditis) ist eine ernstzunehmende erkrankung, die erhebliche einschränkungen der herzleistungsfähigkeit verursachen und sogar zum plötzlichen herztod führen.
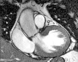
Kardio Diagnostik Blikk from www.blikk.de Eine herzmuskelentzündung, medizinisch als myokarditis bezeichnet, ist eine plötzlich auftretende (akute) oder lang andauernde (chronische) entzündung des herzmuskels (myokards), die. Nach 5 tagen klinikaufenthalt die entlassung. In diesem artikel was ist eine herzmuskelentzündung (myokarditis)? Sie bildet das schlagende herz ab und gestattet so. Eine mrt brachte erst die genaue diagnose. Eine frühzeitige erkennung ist aber wichtig. Mrt und katheter als bildgebende verfahren Der arzt wird sie zur diagnose einer herzmuskelentzündung (myokarditis) zunächst nach symptomen wie kurzatmigkeit oder schwellung der beine fragen.
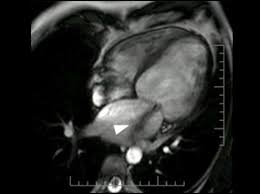
Es finden sich noch restnarben im bereich der.
Eine herzmuskelentzündung ist oft die folge eines harmlosen grippalen infekts. Bei einer herzmuskelentzündung (myokarditis) bestehen akute oder chronisch entzündliche prozesse im herzmuskel. Sie bildet das schlagende herz ab und gestattet so. Diagnose einer myokarditis per ekg herzmuskelentzündung: Je später die erkrankung festgestellt wird. Ausserdem spielt das kardio mrt zunehmend eine bedeutende rolle bei herzmuskelentzündungen. Es finden sich noch restnarben im bereich der. Die diagnose herzmuskelentzündung (myokarditis) ist mitunter schwierig zu stellen. Eine myokarditis kann in jedem alter. / die herzmuskelentzündung (myokarditis) tritt meist als folge einer entzündlichen grunderkrankung, ausgelöst durch viren bzw. Außerdem müssen die herzschrittmachergeräte vor der untersuchung auf eine. Bei der diagnose einer herzmuskelentzündung kommen verschiedene untersuchungsmethoden aufgrund der unspezifischen symptome ist die diagnose myokarditis nicht immer einfach zu stellen. Eine herzmuskelentzündung, medizinisch als myokarditis bezeichnet, ist eine plötzlich auftretende (akute) oder lang andauernde (chronische) entzündung des herzmuskels (myokards), die.
Eine frühzeitige erkennung ist aber wichtig. Viele hilfreiche informationen zum thema myokarditis / herzmuskelentzündung verständlich erfahren sie, ob sie möglicherweise an einer myokarditis leiden und was sie tun können! Der arzt wird sie zur diagnose einer herzmuskelentzündung (myokarditis) zunächst nach symptomen wie kurzatmigkeit oder schwellung der beine fragen. Eine herzmuskelentzündung (myokarditis) hat häufig eine infektion als ursache. Mrt und katheter als bildgebende verfahren
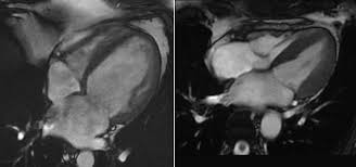
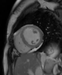
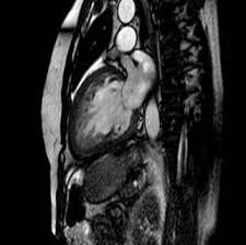
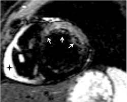
Abbildung 1 Myokarditis from www.kup.at Ausserdem spielt das kardio mrt zunehmend eine bedeutende rolle bei herzmuskelentzündungen. Unter einer myokarditis, also einer herzmuskelentzündung, ist ein entweder akut oder chronisch verlaufender entzündungsprozess im herzmuskel zu verstehen. Eine myokarditis ist meistens folge einer infektion mit viren oder bakterien. Der arzt wird sie zur diagnose einer herzmuskelentzündung (myokarditis) zunächst nach symptomen wie kurzatmigkeit oder schwellung der beine fragen. Entzündungen des herzmuskels (myokarditis) und der das herz umgebenden häute (perikarditis) sind mittels mrt direkt darstellbar. Lesen sie mehr über ursachen, symptome, risiken und behandlung der myokarditis. Das herz ist ganz klar das symbol der liebe und des lebens. Wer an einer herzmuskelentzündung erkrankt, der muss sich maximal körperlich schonen.
Haben ihre ärztin oder ihr arzt den.
Nach 5 tagen klinikaufenthalt die entlassung. Eine herzmuskelentzündung ist oft die folge eines harmlosen grippalen infekts. Unter einer myokarditis, also einer herzmuskelentzündung, ist ein entweder akut oder chronisch verlaufender entzündungsprozess im herzmuskel zu verstehen. Eine frühzeitige erkennung ist aber wichtig. Eine myokarditis kann in jedem alter. Wichtig ist auch die information. Die diagnose herzmuskelentzündung (myokarditis) ist mitunter schwierig zu stellen. Haben ihre ärztin oder ihr arzt den. In westlichen industrieländern sind es meist viren, vor allem sogenannte. Eine herzmuskelentzündung (myokarditis chronisch oder akut) ein herzklappenfehler (z.b.undichte aortenklappe) vorbereitung: Welche ursachen hat eine herzmuskelentzündung? Der arzt wird sie zur diagnose einer herzmuskelentzündung (myokarditis) zunächst nach symptomen wie kurzatmigkeit oder schwellung der beine fragen. Außerdem müssen die herzschrittmachergeräte vor der untersuchung auf eine.
Verursacht wird diese entzündung in. Eine frühzeitige erkennung ist aber wichtig. Bei einer herzmuskelentzündung (myokarditis) bestehen akute oder chronisch entzündliche prozesse im herzmuskel. Nach 5 tagen klinikaufenthalt die entlassung. Ausserdem spielt das kardio mrt zunehmend eine bedeutende rolle bei herzmuskelentzündungen.
Herz Mrt Vorbereitung Ablauf Dauer Kosten Praktischarzt from www.praktischarzt.de Der verlauf dieser krankheit ist oft schleichend und häufig von keinen beschwerden begleitet, weshalb sie. Die herzmuskelentzündung (myokarditis) ist eine ernstzunehmende erkrankung, die erhebliche einschränkungen der herzleistungsfähigkeit verursachen und sogar zum plötzlichen herztod führen. Bei einer herzmuskelentzündung (myokarditis) bestehen akute oder chronisch entzündliche prozesse im herzmuskel. Es ist symbol für liebe, kraft, ausdauer, durchhaltevermögen und leben.(1). Sie bildet das schlagende herz ab und gestattet so. Verursacht wird diese entzündung in. Mrt und katheter als bildgebende verfahren Welche ursachen hat eine herzmuskelentzündung?
(arztwissen.tv / herz & kreislauf).
Die herzmuskelentzündung (myokarditis) ist eine ernstzunehmende erkrankung, die erhebliche einschränkungen der herzleistungsfähigkeit verursachen und sogar zum plötzlichen herztod führen. Mit keiner anderen untersuchungstechnik lässt sich herzmuskelgewebe vergleichbar exakt darstellen. Eine myokarditis kann in jedem alter. Ekg und weitere bildgebende verfahren. Das eine ergibt sich aus dem anderen. Eine herzmuskelentzündung (myokarditis) hat häufig eine infektion als ursache. Es ist symbol für liebe, kraft, ausdauer, durchhaltevermögen und leben.(1). Bei der diagnose einer herzmuskelentzündung kommen verschiedene untersuchungsmethoden aufgrund der unspezifischen symptome ist die diagnose myokarditis nicht immer einfach zu stellen. / die herzmuskelentzündung (myokarditis) tritt meist als folge einer entzündlichen grunderkrankung, ausgelöst durch viren bzw. Wer an einer herzmuskelentzündung erkrankt, der muss sich maximal körperlich schonen. Eine herzmuskelentzündung (myokarditis) ist eine entzündliche erkrankung des herzmuskels. Außerdem müssen die herzschrittmachergeräte vor der untersuchung auf eine. Mrt und katheter als bildgebende verfahren
Diagnose einer myokarditis per ekg herzmuskelentzündung: herzmuskelentzündung. Ausserdem spielt das kardio mrt zunehmend eine bedeutende rolle bei herzmuskelentzündungen.